審美歯科

美しい口元の条件は、
歯、歯肉、歯並び、唇の形、顔の形が調和していることです。
美しい口元は、明るい笑顔、清潔なイメージを作ります。
あなたの笑顔をさらに美しくしませんか。
審美性へのこだわり

篠崎歯科医院の院長は開業前、開業当初、技工物を自分で作成していました。
そのため、技工物の精度、審美性には特こだわりを持っております。
現在は常勤の技工士2名と、外注の技工士2名とともに、技工物の精度、形態、色調、など質の高さを常に追求しております。

見た目が重要な場所の技工物の作成の際は、作成の中間の段階で、患者様のお口の中に技工物を入れさせてもらい、歯の長さ、方向、出具合、形、を確認修正の作業をさせていただきます。
また色合わせは特に時間をかけてさせていただき、写真撮影なども行いながら、自然な色調を再現していきます。
外注の技工士2名は、篠崎歯科に勤務したのち独立開業しました。全国規模の学会での発表経験もあり、その技工技術は県内では屈指だと思います。
1. 矯正
歯並びがよくないと、 歯が黒く見えたり(影になるため) 口元がゆがんで見えたり、場合によっては鼻が低く見えたりします。
このような状態で矯正治療を行い、驚くほど顔が美しく変化する事はよくあります。
矯正は本来、顎口腔機能改善のために行われますが、それに付随する審美的メリットは大きく、美容整形の分野でも必要不可欠な治療法となっています。

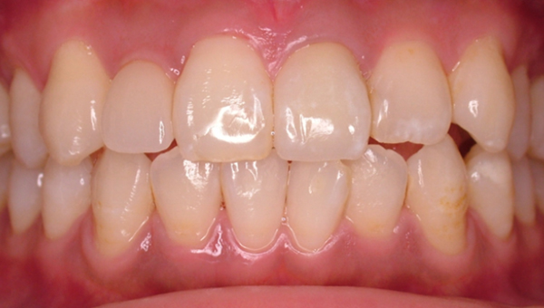
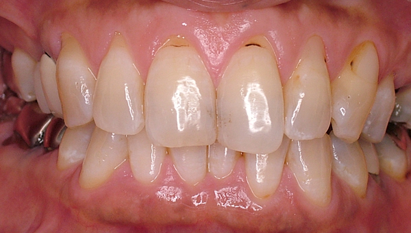
矯正前

矯正後
フルブラケットを用いた全顎の矯正治療。
3級ゴムを併用して治療
治療期間 2年2か月
治療費 600,000円+消費税
副作用 歯根吸収、むし歯、歯肉炎
2. セラミックインレー・セラミッククラウン
つめ物や、かぶせ物の治療を、審美的に優れたセラミックで治すことにより、自然な歯が作れます。 材質的にも保険治療のものよりも優れています。
セラミックインレー
奥歯も自然な色合い。金属がなくなりお口の中が明るく、若返った症例です。
右下7左下7,8(3本) e-max(二ケイ酸リチウムガラスが主成分)によるインレー治療。

セラミックインレー前

セラミックインレー後
右下6、左下6(2本) e-maxによるクラウン治療
歯周病治療(歯石除去、歯みがき指導など)
治療期間 2か月
治療費 280,000円+消費税
副作用 局所麻酔によるアレルギー

セラミックインレー前

セラミックインレー後
左右下顎6、7(4本) e-maxによるインレー治療
歯周病治療(歯石除去、歯みがき指導など)
治療期間 1か月
治療費 160,000円+消費税
副作用 局所麻酔によるアレルギー
セラミッククラウン

セラミッククラウン前

セラミッククラウン後
左右前歯1,1(2本) 神経が壊死しており変色しています。
感染根管治療後、中から歯を漂泊し、グラスファイバーのポストで補強し、ジルコニアクラウン(レイヤリングテクニック)にて補綴処置。
全体の歯も外から漂白。
歯周病治療(歯石除去、歯ブラシ指導)
治療期間 3か月
治療費 240,000円+消費税
副作用 知覚過敏、歯肉炎

セラミッククラウン前

セラミッククラウン後
左上1保険適用の樹脂製クラウンの変色を治療希望
ジルコニアクラウン(レイヤリングテクニック)にて補綴処置。
歯周病治療(歯石除去、歯ブラシ指導)
治療期間 1か月
治療費 120,000円+消費税
副作用 知覚過敏、歯肉炎

セラミッククラウン前

セラミッククラウン後
前歯を白くしたいという希望で来院
上の前歯6本をジルコニアクラウン(レイヤリングテクニック)にて補綴処置。
歯周病治療(歯石除去、歯ブラシ指導)
治療期間 3か月
治療費 720,000円+消費税
副作用 知覚過敏、歯肉炎

セラミッククラウン前

セラミッククラウン後
上の前歯2本の変色を治療希望。
むし歯の治療後、ジルコニアクラウン(レイヤリングテクニック)にて補綴処置。
歯周病治療(歯石除去、歯ブラシ指導)
治療期間 2か月
治療費 240,000円+消費税
副作用 知覚過敏、歯肉炎

セラミッククラウン前

セラミッククラウン後

セラミッククラウン前

セラミッククラウン後
前歯が前に出ているのと、すいているのが昔から気になっていた。口をあけて笑えなかったとのことでした。
上の前歯4本をジルコニアクラウン(レイヤリングテクニック)にて補綴処置。
歯周病治療(歯石除去、歯ブラシ指導)
治療期間 2か月
治療費 480,000円+消費税
副作用 知覚過敏、歯肉炎
部分矯正 セラミッククラウン

部分矯正 セラミッククラウン前

部分矯正 セラミッククラウン後
歯並びと歯の色をきれいにしたいということで来院。
全体矯正は希望されない。
左右2番を抜歯して左上1番を小矯正、その後ジルコニアブリッジ(レイヤリングテクニック)にて治療。
歯周病治療(歯石除去、歯ブラシ指導)
治療期間 4か月
治療費 770,000円+消費税
副作用 知覚過敏、歯肉炎

部分矯正 セラミッククラウン前

部分矯正 セラミッククラウン後
受け口をなおして、新庄みたいに歯を白くしたいということで来院。
前歯4本を部分矯正、上6本、下8本をジルコニア(レイヤリングテクニック)にて補綴処置。
歯周病治療(歯石除去、歯ブラシ指導)
治療期間 5か月
治療費 1,780,000円+消費税
副作用 知覚過敏、歯肉炎
漂白セラミッククラウン

漂白セラミッククラウン 術前

漂白セラミッククラウン 術後
他院にて治療した古いセラミッククラウン(メタルフレーム)の見た目が気になり来院
歯とクラウンの継ぎ目が見えてきて変色し、むし歯になっていました。
根っこの変色を治すために歯の中から漂白し、ジルコニアクラウン(レイヤリングテクニック)にて補綴処置。
歯肉の変色も治癒しているところにも注目
歯周病治療(歯石除去、歯ブラシ指導)
治療期間 2か月
治療費 240,000円+消費税
副作用 知覚過敏、歯肉炎
歯肉色セラミッククラウン

歯肉色セラミッククラウン 術前

歯肉色セラミッククラウン 術前

歯肉色セラミッククラウン 術前

歯肉色セラミッククラウン 術後

歯肉色セラミッククラウン 術後

歯肉色セラミッククラウン 術後
前歯が1本前に出ているのを気にされて来院。
右の2本をセラミッククラウンで治療
前に出ていた歯を中に入れただけでは歯が長くなってしまうので、歯肉色のセラミックを使い歯の長さを左右対称にする。
歯周病治療(歯石除去、歯ブラシ指導)
治療期間 2か月
治療費 240,000円+消費税
副作用 知覚過敏、歯肉炎
3. ホワイトニング(漂白)

ご自分の歯を削ることなく、白い歯の輝きを取り戻す方法です。
ホワイトニングジェルの成分から発生する フリーラジカル(活性酸素)により、歯の中にしみこんでいる汚れを分解し取り除くことで、歯の色そのものを白くすることができます。

ホワイトニング前

ホワイトニング後
歯型を取り厚みの薄い、専用のマウスピースを作成。
就寝時、もしくは1日5時間を目安に漂白ジェルを塗ったマウスピースを装着
効果には個人差あり
治療期間 3週間
治療費 30,000円+消費税
副作用 知覚過敏、歯肉炎
漂白セラミック
歯の変色を漂白することにより歯肉の色も回復します。
グラスファイバーの土台を入れ再度変色しないようにして、最後にセラミッククラウンで修復しています。

漂白セラミック 術前

漂白セラミック 術中1

漂白セラミック 術中2

漂白セラミック 術後
他院にて治療した古いセラミッククラウン(メタルフレーム、1本)の見た目が気になり来院
歯とクラウンの継ぎ目が見えてきて変色し、むし歯になっていました。
根っこの変色を治すために歯の中から漂白し、ジルコニアクラウン(レイヤリングテクニック)にて補綴処置。
歯肉の変色も治癒しているところにも注目
歯周病治療(歯石除去、歯ブラシ指導)
治療期間 2か月
治療費 120,000円+消費税
副作用 知覚過敏、歯肉炎
審美総合
歯周病治療(全体)、虫歯治療(8本)インプラント(左上5、1本)漂白(全体)セラミッククラウン(奥歯5本)セラミックインレー(奥歯5本)の治療を総合的に行いました。

術前正面

術後正面

術前横から見たところ

術後
治療期間 10か月
治療費 930,000円+消費税 虫歯治療、歯周病治療は保険適用
副作用 知覚過敏、歯肉炎、局所麻酔によるアレルギー、手術時の神経損傷、術後の出血、腫脹、インプラント周囲炎


