矯正歯科

歯並びがきれいになることで、
あなたは自然に笑顔に自信を持てるようになります。
なんでもしっかり噛める、虫歯のない健康なお口になるために、歯列矯正が必要なこともあります。
また、歯並びがきれいになることで、あなたは自然に笑顔に自信を持てるようになります。
八重歯や出っ歯を「愛嬌」で済ませてしまえる時代は終わりました。
矯正が「恥ずかしい」という時代も、もう終わっています。
矯正は子供の時期に始めたほうが期間は早く終わりますが、成人してからでもぜんぜん遅くありません。
70歳を過ぎてから矯正をされた方もおられます。
歯並びにコンプレックスを持つあなたにも、ぜひチャレンジしていただきたいと思います。
八重歯(叢生)治療
八重歯や歯並びの悪い歯列は、見た目が悪いだけでなく、歯ブラシしてもキレイになりにくいので、虫歯ができやすく、歯周病も早く進行してしまいます。
矯正治療により歯並びを治すと、虫歯や歯周病になりにくくなります。
もちろん、見た目の清潔感アップも間違いなし!

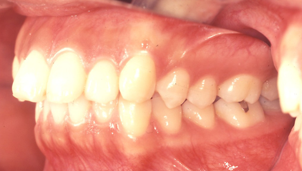
治療前

治療後
フルブラケットを用いた全顎の矯正治療。
上下の小臼歯4本抜歯
治療期間 2年
治療費 700,000円+消費税
副作用 歯根吸収、むし歯、歯肉炎、歯根露出

治療前

治療後
フルブラケットを用いた全顎の矯正治療。
上の小臼歯2本抜歯
治療期間 2年
治療費 700,000円+消費税
副作用 歯根吸収、むし歯、歯肉炎、歯根露出
上顎前突(出っ歯)治療
出っ歯を治すと口元がかなり引っ込むので、相対的に鼻が高くなります。

治療前

治療後

治療前

治療後
フルブラケットを用いた全顎の矯正治療。
上顎の小臼歯2本抜歯
治療期間 2年
治療費 700,000円+消費税
副作用 歯根吸収、むし歯、歯肉炎、歯根露出
下顎前突(受け口)治療
前歯の被さり方を治すことにより、自然な笑顔を作れます。


治療前


治療後
フルブラケットを用いた全顎の非抜歯矯正治療。
3級ゴム併用
治療期間 1年9か月
治療費 600,000円+消費税
副作用 歯根吸収、むし歯、歯肉炎、歯根露出


